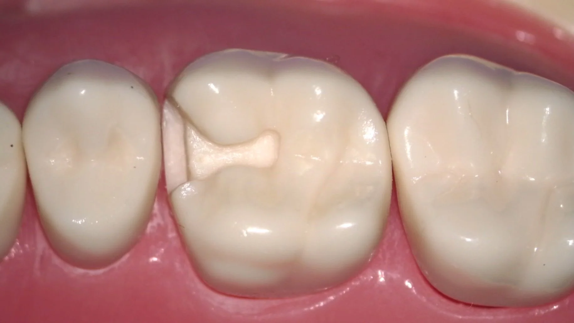
#14 MO Ag Preparation
Occlusal Measurements
Isthmus Width: 1.0 - 1.2 mm
RGS 3 Width (W)
Dovetail Extensions: 0.25 - 0.5 mm
RGS 1 (W)
Box Measurements
Exit Angle: 90 degrees
Proximal Wall Clearance: 0.5 mm (0.4 - 0.75 mm)
RGS 1 W or Explorer Tip
Proximal Wall angle: 90 degrees to slightly < 90 degrees
Gingival Wall Clearance: 0.5 mm
RGS 1 W or Explorer Tip
Axial Depth: 1.0 - 1.5 mm
RGS3/4 W
Retention Groove Depth: 0.25 mm depth
Other Features
* S-curve as needed to connect the proximal box to the isthmus
* Convergent proximal walls
* Rounded axiopulpal line angle

